Arnoldova–Chiariho malformace

Arnoldova–Chiariho malformace (dnes častěji označována pouze jako Chiariho malformace) je nejběžnější vrozený strukturální defekt mozečku s výskytem 1 na 1000 porodů, častěji postihující ženy než muže. Tento syndrom popsal jako první v 19. století rakouský patolog Hans von Chiari. Obecně jde o defekt s dislokací větší či menší části mozečku a prodloužené míchy do foramen magnum (velký týlní otvor) a páteřního kanálu horní krční etáže. Podle rozsahu, příčin a přidružených komplikací dělíme CM na čtyři typy.
Příčiny a rozdělení
CM má několik různých příčin. Zřejmě dochází ke strukturálním defektům v průběhu fetální periody, často spojeným s abnormálně malou zadní jámou lební, kdy je část mozečku dislokována a brání tak průtoku mozkomíšního likvoru, čímž vzniká obstrukční hydrocefalus. To má za následek rozšíření komorového systému, poškození vstřebávání a tvorby likvoru a útlak mozkové tkáně, který je vzácně doprovázen encefalokélou. Samozřejmě útlakem mozečku a prodloužené míchy ve foramen magnum mohou být postiženy funkce právě těchto struktur. Během života může být defekt zaviněn nadměrným odčerpáváním likvoru v oblasti lumbální či torakální páteře ať už jako důsledek vážného zranění nebo například infekce (tzv. sekundární CM.
Typ I: Spočívá v herniaci tonsil mozečku ve foramen magnum, obvykle bez zapojení mozkového kmene. Tento typ je nejčastější formou a obvykle je asymptomatický, na vadu se často přijde v pokročilém věku náhodně při diagnostice jiných poruch, pokud vůbec. V některých případech se projevují bolesti hlavy a mozečkový syndrom v závislosti na míře dislokace, která je obvykle větší než 5 mm, ale může dosahovat i 15 až 20 mm.
Typ II: Taktéž „klasická CM“ – rozšíření mozečkové tkáně a mozkového kmene do foramen magnum a horní etáže krční páteře, které musí být při diagnostice odlišeno od daleko vzácnějšího Dandy-Walker syndromu. Tento typ je nejčastěji spojený se spina bifida a meningomyelokélou, myeloschizou a syringomyelií, což obvykle způsobí částečnému nebo úplnému ochrnutí kaudálně od míšního poškození. Právě pro tento typ je typický název „Arnoldova–Chiariho malformace“.
Typ III: Tento typ je zároveň nejzávažnější formou CM, kdy je s velkou částí mozečku a mozkového kmene skrz foramen magnum vtažena i část čtvrté mozkové komory. Právě s případy tohoto typu je nejčastěji spojena encefalokéla a vážné neurologické poruchy.
Typ IV: Je spojen s nedostatečným vývojem samotného mozečku, často zaměňován s výše zmíněným Dandy-Walker syndromem.
Příznaky, diagnostika, řešení
Mezi nejčastější příznaky patří bolesti krční páteře, nystagmus, necitlivost a svalová slabost, problémy s rovnováhou, silné bolesti hlavy, porucha termického čití a mnoho dalších v závislosti na rozsahu poškození.
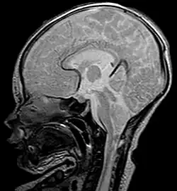
K diagnostice se dnes nejčastěji užívá MRI, dále 3D či jednoduché CT.
Chirurgický zákrok je jediná cesta k nápravě nebo zastavení progrese poškození CNS. Obvykle se jedná o dekompresi zadní jámy lební kraniektomií spodiny lebky. V některých případech je indikována elektrokauterizace mozečkových tonsil při dekompresi foramen magnum, častěji je při operaci zavedena subarachnoideální drenáž IV. mozkové komory do horní krční etáže páteře. Související hydrocefalus je v některých případech řešen zavedením shuntu, stejně tak případy s přidruženou syringomyelitis. V současné době probíhá mnoho výzkumů Chiariho malformace, mimo jiné i se snahou dokázat genetickou příčinu tohoto onemocnění, která se zatím neprokázala.
Literatura
- Moore, Persaud: Zrození člověka
- Petrovický a kol.: Klinická neuroanatomie CNS s aplikovanou neurologií a neurochirurgií
- National Institute of Neurological Disorders and Stroke (NINDS) www.ninds.nih.gov
- Häckel M., Beneš V. jr.: Chiariho malformace bez myelodysplázie, Zkušenosti s chirurgickou léčbou 50 nemocných
Externí odkazy
Obrázky, zvuky či videa k tématu Arnold Chiariho malformace na Wikimedia Commons - NINDS Chiari Malformation Information Page