Amalgámy
Amalgámy jsou kapalné nebo pevné slitiny rtuti (případně gallia) s jedním nebo několika kovy, například se sodíkem, stříbrem, zlatem, zinkem, mědí, cínem, kadmiem či olovem. Lze je připravit většinou přímým stykem rtuti s kovem.
Objev
Amalgámy začal využívat již v roce 1826 francouzský zubař Auguste Taveau. Spravoval poškozené zuby slitinou stříbra a rtuti. Stříbro vytvořilo s kapalnou rtutí středně tuhou pastu, která dobře vyplnila zub, a pak v něm ztuhla do potřebného tvaru.
Amalgámy
Amalgám zlata
Vzniká například při tzv. amalgamačním způsobu těžby zlata, kdy je rozemletá hornina kontaktována s kovovou rtutí. Vzniklý amalgám zlata je po oddělení horniny pyrolyzován a rtuť prostě odpařena. Přinejmenším část rtuti ovšem uniká do atmosféry, a proto se dnes tento postup příliš nepoužívá [zdroj?]. Rtuť se z tohoto amalgámu odpařuje při teplotě přes 300 °C a zbývá ryzí zlato. Amalgám zlata je kapalný [1]. Ve světě se ročně spotřebuje pro těžbu zlata asi 800 tun rtuti.[2]
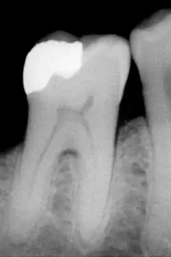
Dentální amalgámy

Používají se jako velmi odolná výplň zubu po odstranění zubního kazu. Jde o slitinu rtuti se stříbrem, mědí a cínem v poměru 1 dílu rtuti ku 1 dílu ostatních kovů. Ve světě se ročně spotřebuje do zubních amalgámů kolem 270 tun rtuti, z toho asi 70 tun připadalo na 15 zemí EU před jejím rozšířením o nové členské státy.[3]
Dentální amalgám musí splňovat řadu přísných kritérií:
- Rychlost tuhnutí musí být taková, aby lékař měl dostatek času plombu do zubu správně zasadit a mechanicky upravit, současně by však již po hodině až dvou měla být natolik tvrdá, že ji pacient může používat (kousat na ošetřený zub). Celkově amalgám tvrdne po dobu přibližně 24 hodin.
- Během tvrdnutí nesmí docházet k velkým rozměrovým změnám amalgámu – při expanzi by hrozilo rozlomení zubu, při zmenšení objemu by plomba vypadávala.
- Amalgám musí být co nejvíce chemicky odolný vůči prostředí v lidských ústech, aby nedocházelo k uvolňování rtuti a zbylých kovů do organismu.
V dnešní době se hodně diskutuje o náhradě zubních amalgámů, protože si vědci nejsou jisti, nakolik poškozují zdraví lidí.[4] Proto se hledají náhrady jako například plastické polymery.
Velká část rtuti ze zubních amalgámů končí v životním prostředí. Podle expertů každý rok končí v Evropské unii asi 30 tun rtuti v půdě, 24 tun ve vodě a 23 tun v ovzduší.[5]
V některých severských státech (Norsko, Švédsko, Dánsko) se kvůli předpokládané škodlivosti od amalgámových plomb upustilo.[zdroj?] V zahraničí proti amalgámovým výplním vystupují uznávaní vědci jako: Dietrich Klinghardt, dr. Joachim Mutter, dr. Andy Cutler, Jutta Altmann–Brewe aj. [zdroj?] V Česku se stále používají.
Od 1. července 2018 platí zákaz používání u dětí do 15 let a u těhotných a kojících žen.[6]
Sodíkový amalgám
Vzniká při elektrolýze roztoku se sodnými kationty na rtuťové katodě. Používá se ve vysokotlakých sodíkových výbojkách, a dále při výrobě hydroxidu sodného.
Draslíkový amalgám
Podobně jako sodíkový vzniká při elektrolýze roztoku s draselnými kationty na rtuťové katodě. Používá se dále při výrobě hydroxidu draselného nebo při přípravě fulminátu draselného a jinde.
Odkazy
Související články
Reference
V tomto článku byl použit překlad textu z článku Amalgam na anglické Wikipedii.
- ↑ Диаграмма состояния системы Au-Hg. www.himikatus.ru [online]. [cit. 2016-12-12]. Dostupné online.
- ↑ Miroslav Šuta: Evropská strategie eliminace rtuti Archivováno 10. 9. 2009 na Wayback Machine., Odpady, 14. 7. 2005
- ↑ Miroslav Šuta: Evropská strategie eliminace rtuti Archivováno 10. 9. 2009 na Wayback Machine., Odpady, 14. červenec 2005
- ↑ Zbyněk Mlčoch: Otrava (intoxikace) rtutí - příznaky, projevy, léčba, prevence, amalgám Archivováno 5. 1. 2009 na Wayback Machine.
- ↑ Miroslav Šuta: Dám či nedám (si) amalgám?, respekt.cz, 24. leden 2008
- ↑ Amalgámové zubní plomby u těhotných. www.vzp.cz [online]. [cit. 2018-05-19]. Dostupné v archivu pořízeném dne 2018-05-19.
Externí odkazy
Obrázky, zvuky či videa k tématu amalgám na Wikimedia Commons
Slovníkové heslo amalgám ve Wikislovníku- Informace o obsahu rtuti v amalgámových plombách – https://web.archive.org/web/20150912093635/http://www.yurmax.cz/cz/informace-o-amalgamu
- Amalgamace, Hornická skripta
- Miroslav Šuta: Dám či nedám (si) amalgám?, respekt.cz, 24. leden 2008
- Milan Tuček, Vladimír Bencko, Svatopluk Krýsl: ZDRAVOTNÍ RIZIKA RTUTI ZE ZUBNÍCH AMALGÁMŮ, Chemické listy 101, 1038–1044 (2007)
- Zbyněk Mlčoch: Otrava (intoxikace) rtutí - příznaky, projevy, léčba, prevence, amalgám
- (anglicky) Kontroverze o zubním amalgámu en.wikipedia.org
- Slovník esoteriky a pavěd, heslo Amalgám