Alfa buňka


Alfa buňka (A buňka) je endokrinní buňka nacházející se ve slinivce břišní. Jedná se o jeden z buněčných typů, které tvoří Langerhansovy ostrůvky. Produkuje hormon glukagon jako odpověď na nízkou hladinu glukózy v krvi.
Histologie
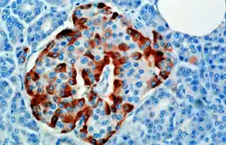
Alfa buňky mají v cytoplazmě jemná oválná granula (alfa-granula), která měří přibližně 0,3 μm a pod elektronovým mikroskopem mají silně elektronově denzní střed a světlejší okraj. Tato kulatá granula jsou na povrchu obalena membránou a jsou značně osmiofilní (vážou osmium). Lze je impregnovat solemi stříbra. Ve světelném mikroskopu se od ostatních epitelových buněk pankreatu liší tím, že se granula barví azokarmínem červeně. V cytoplazmě nalezneme mitochondrie protáhlého tvaru, jaderný chromatin tvoří jemná granula. [1][2]
A buňky se nalézají na vnějším okraji ostrůvku a tvoří zhruba 20 % buněk v ostrůvku. (Zadní lalok slinivky nese méně než 0,5 %. Ocas, tělo a přední část hlavy, které pocházejí z embryonálního zadního pupenu, obsahují asi 20 % A buněk.)[3]
Funkce
Glukagon
Hlavní funkcí alfa buněk je produkce peptidického hormonu glukagonu, který při poklesu hladiny glukózy v krvi spouští v jaterních buňkách glukoneogenezi (tvorbu glukózy) a glykogenolýzu (rozklad zásobního polysacharidu glykogenu). Glukagon je v alfa buňkách syntetizován jako prekurzor proglukagon, který dává kromě glukagonu vzniknout i dalším peptidům, z nichž některé se podílejí na regulaci produkce dalších ostrůvkových buněk.
Inzulín a somatostatin inhibují produkci A buněk. K potlačení sekrece vede také kyselina γ-aminomáselná, která se vytváří v B buňkách, a vysoká hladina mastných kyselin v krvi. Produkci stimuluje velká část aminokyselin, katecholaminy, střevní hormony a glukokortikoidy.[3]
Patologie
Glukagonomy
Glukagonomy (nádory alfa buněk) jsou spojeny se syndromy mírného diabetu, nekrotizující migrující zarudlé vyrážky, chudokrevnosti, žilní trombózy a závažných infekcí. Jsou vzácné, představují asi 1 % funkčních nádorů ostrůvkových buněk, a vyskytují se mezi 40. a 70. rokem života s nepatrnou převahou u žen. Dvě třetiny symptomatických glukagonomů jsou maligní.
Funkční glukagonomy jsou obvykle velké a rozšiřují se do okolních struktur. Mikroskopicky zaujímají trámčité a pevné vzory stejně jako insulinomy. Nádorové buňky obsahují glukagon a pod elektronovým mikroskopem je možno spatřit charakteristické granule alfa buněk. U pacientů s nádorem alfa buněk je hladina glukagonu v plazmě zvýšená až 30krát oproti normálu.[4]
Reference
- ↑ KLIKA, Eduard. Histologie. Praha: Avicenium, 1985.
- ↑ HACH, Petr; JIRSOVÁ, Zuzana; TĚŠÍK, Ivan. Histologie II. Praha: Karolinum, 2010. ISBN 978-80-246-1826-5.
- ↑ a b GREENSPAN, Francis S.; BAXTER, John D. Základní a klinická endokrinologie. Překlad Vratislav Schreiber. [s.l.]: H & H, 2003. 843 s. ISBN 80-86022-56-0.
- ↑ RUBIN, Raphael; STRAYER, David S. Rubin's Pathology. Philadelphia: Wolters Kluwer, 2008. 1341 s. Dostupné online. ISBN 0-7817-9516-8.
Externí odkazy
Obrázky, zvuky či videa k tématu alfa buňka na Wikimedia Commons